
缺牙后为什么要及时修复?
很多年轻人由于各种原因,有少数牙齿缺失。有人认为,反正还有很多牙齿,缺了1,2颗也没什么关系,既没有不舒服,也还能够吃饭,完全可以不用镶牙。
其实这种观念是错误的。缺牙后如果长期不修复,会产生很多问题。首先是两边的牙齿会往缺牙的间隙倾倒,牙缝会慢慢变大,吃东西塞牙缝,如果清理不干净,就会导致蛀牙;其次,缺牙对面的牙齿由于没有咬合关系了,会逐渐伸长,破坏正常的咬合曲线,甚至干扰下颌的运动;第三,如果是承担咀嚼功能的关键大牙缺失,那么缺牙一侧的咬合效率会明显下降,人们会不由自主的用另一边去咬东西,这样长期偏侧咀嚼,会造成一侧牙齿负担过重和咬肌肥大,左右脸看起来不对称;第四,等到我们尝到了上面3种苦头后,终于决心要修复缺失牙齿的时候,会发现由于两边牙齿的移位和对面牙齿的伸长,已经没有理想的位置了,这个时候,就不得不对其它牙齿进行费时费力的调整后,才能修复缺失牙,本来一颗牙齿的简单问题,变成了好几颗牙齿的复杂问题。
图1 缺牙后不及时修复,边上和对面牙齿会向缺牙空隙移动
图2 缺牙后不及时修复的后果,牙缝变大,牙齿倾斜、伸长、蛀牙
如果是缺了好几颗牙齿的中老年人,就更应该重视这个问题。调查表明我国60岁以上的老年人平均缺牙10颗左右,但镶牙的人只有50%。甚至还有老年朋友认为,掉一颗镶一颗太麻烦,不如等掉光了再一起镶。这种想法是极端错误的。对于老年人而言,牙齿其实就跟眼睛一样宝贵,缺了牙不仅影响食欲,还会影响消化吸收,导致营养不良和健康问题。有调查显示,全口无牙的老年人之中,因咀嚼效率低影响食欲,近三成致营养不良。缺牙后就应该及时修复,不能延误,否则会对剩下的健康牙造成影响,给将来的修复造成困难,而且缺牙时间越长,修复效果也就越差。多缺失一颗牙,咀嚼效率就会损失一点,生活质量也就下降一点,修复难度会增加很多。等到一颗牙齿都没有了,安装全口假牙倒是方便,问题是全口假牙的固位力只有可怜的几十克,说话、吃饭、打喷嚏都有可能会整个牙齿掉出来,只能吃很软的食物,生活质量就无从说起了。所以建议老年朋友们缺牙后要及时修复,切勿等全口牙都掉光了才去镶牙。
缺牙的3种不同修复方式
1 活动牙:优点是简单、便宜。但舒适度、美观度、咀嚼效率、易用性都是最差的。
图3 门牙是活动牙,一般都要在天然牙上面设计钢丝,起固定作用
2 烤瓷牙
烤瓷牙是种植牙出现以前,最舒适、最先进的固定修复方式。比如缺了一颗大牙,就需要磨除边上的两颗好牙,然后做成3颗连在一起的烤瓷牙。
图4 缺了一颗大牙

图5 两边的好牙磨小以后
图6 完成的烤瓷牙,3颗连在一起
公平的说,烤瓷牙是一种很成熟,效果也比较好的修复方式。在种植牙出现以前,甚至是最佳的修复方式。但这种方案最大的缺点是要磨除两边的健康牙。牙体组织一旦磨除,就永远无法恢复。此外,由于缺牙区没有牙根的刺激作用,牙槽骨会缓慢萎缩。目前种植牙技术已经相当成熟,所以这种方式会逐渐被取代。
3 种植牙
是目前口腔医学界公认的最理想的缺牙修复方式,下文会详细说明。
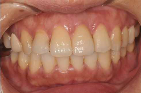
图7 图3所示的同一位活动假牙患者,改做种植牙以后
什么是种植牙?
什么是种植牙?光听名字,很多朋友会认为种植牙是把一枚牙齿的“种子”放到嘴巴里,然后它就会生根发芽,长出一颗新牙。其实并非如此。想了解种植牙的原理,先要从拔牙伤口的愈合讲起。天然牙分为两部分,牙冠和牙根。牙冠是暴露在口腔中,承担美观和功能的部分;牙根是生长在上颌或者下颌的牙槽骨中,承受咬合力量的部分。由于牙槽骨表面被粉红色的牙龈覆盖,很多患者会误以为牙齿是生长在牙龈里的。牙齿因为各种原因脱落或者拔除后,牙槽骨中就会留下空洞,称为拔牙窝。幸运的是,这个空洞很快会被牙龈覆盖,内部会慢慢被新生骨充满,最后全部被填平,这叫做拔牙窝的愈合。
所谓“种植牙”,其实并不是一个生根发芽的过程,而是高科技仿生的设计。种植牙由3个部件组成,分2步走。第一步是把纯钛制成的人工牙根,通过精细而无痛的手段,准确植入到缺牙区牙槽骨中。经过2-3个月,纯钛牙根就能和牙槽骨牢固结合,这一现象叫做骨整合,由瑞典学者Branemark教授在上世纪50年代偶然发现,是现代口腔种植学的理论基础。国外研究测量过,纯钛牙根和牙槽骨的结合强度,比天然牙还要高很多。等人工牙根彻底结合牢固了,就是第二步过程,医生会在牙根上面安装基台,再在基台上面安装烤瓷牙,这样就能恢复缺失牙的形态和功能了。所以纯钛牙根是埋在牙槽骨中的,是下部结构和基础;烤瓷牙是暴露在牙龈外面的,是上部结构和功能表现;基台是承上启下的中间连接结构。正是通过这3个部件的精密配合,才能组成这个模拟天然牙齿的,精密而复杂的仿生结构---种植牙。
种植牙由哪几部分组成?
种植牙并非像很多人想象的那样,把一个种子“种”下去,就能长出一颗牙齿。实际上,种植牙是一套集高科技和精密加工技术于一体的人造结构。
目前临床上主流的种植牙系统大多由三部分组成,即人工牙根、基台和烤瓷牙。人工牙根是植入到牙槽骨内的部分,一般由纯钛制成,生物相容性极佳,可以和我们的牙槽骨建立长期牢固的骨性结合。人工牙根是种植牙最关键、最重要、技术含量最高的部分,只有选择经过长期临床验证的成熟种植系统,由具有丰富经验的专业种植医生植入到牙槽骨内正确合适的位置,才能保证人工牙根能长期稳定的承受咬合力量、支持和固定种植牙。
图8 种植牙的组成部分:人工牙根
第二部分是基台。简单来说,基台就是连接下部人工牙根和上部烤瓷牙的中间结构,具有承上启下的重要功能。基台和人工牙根有多种连接方式,比如内六角、外八角和莫尔斯锥度连接,一般用中央螺丝固定于人工牙根上。在早期,基台都是由种植体厂家提供的成品,一般由纯钛制成,能够和相应型号的人工牙根精密配合,由医生根据不同的情况选择不同型号的基台。最近10年来,随着计算机辅助设计/加工技术的飞速发展,由电脑根据不同的患者情况精密加工的个性化基台大行其道,逐渐成为了一种趋势,而材料也不再局限于纯钛,二氧化锆全瓷基台开始运用于前牙区域,能获得更好的美学效果。
图9 种植牙的组成部分:基台
第三部分,也是最上面部分就是烤瓷牙了。这也是种植牙行使咬合功能最直接的体现。基台通过螺丝固定在人工牙根上,烤瓷牙再固定于基台上,于是这三个部分就形成了一个有机的功能整体。烤瓷牙分为2大类,一类是金属烤瓷牙,在陶瓷内部有一层金属支架。不同金属对烤瓷牙的生物相容性和美学性能有很大影响。一般我们建议选择纯钛烤瓷牙,具有良好的生物相容性,而且和种植牙根、基台是同种金属,也不会影响今后的核磁共振检查。另一类烤瓷牙是二氧化锆全瓷牙,不含任何金属,生物相容性和美学性能都无可挑剔,强度也有了长足的提高,甚至超过了传统的金属烤瓷牙。
图10 种植牙的组成部分:烤瓷牙

图11 种植修复完成后
未完待续。。。